59岁的高峻爷(假名)活动蹒跚地走进晚年科诊室做“例行检查”。由于12年前脑出血留下了左侧肢体肌力下降的误差,他看起来比同龄人苍老一些。“我爸血压一直高,从2007年最先补钾,2020年最先服螺内酯,由于怕有副作用,一天吃一片,症状缓解不显着,整天喊没实力,胸闷气短,有点心慌。”高峻爷的儿子说。
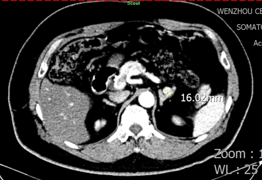
二十年前被诊断为高血压 血压控制不睬想引发两次脑出血 高峻爷的病史要从二十年前提及。2003年,在一次体检中被发明血压升高抵达150/100mmHg,经外地医院诊断为高血压,时值壮年的高先生没有太在意。 然而,让人没想到的是,2011年,在完成一次高负荷的事情后,高先生马上感应天旋地转,再度醒来时已经接受了小脑血肿扫除和去骨瓣减压术。 “幸亏救护车来得实时,我的命是脑外科医生从死神手里夺回来的。”之后,高先生提前过上了退休生涯,只管遵医嘱准时服用降压药,但血压控制并不睬想,还被诊断为重度壅闭性睡眠呼吸障碍综合征,使得血压控制更难了。 2019年,149/85mmHg的血压再次向他的血管提倡攻击,高先生因右侧小脑血肿再次入院。这对刚刚脱离手杖的高先生而言,又是一次重大攻击。 二十年后经精准诊断 行左侧肾上腺切除术后病情显著改善 心肌标记物、肝肾功效、血糖、血脂、甲状腺功效、BNP/NT-proBNP、超敏肌钙卵白、电解质……厚厚的一沓检测报告中,晚年科陈主任关注到有十几张血钾、尿钾异常报告。通过询问家族病史,陈主任相识到高峻爷的母亲和弟弟均患有高血压、低钾血症,且恒久服用氯化钾缓释片,其母亲已于十年前因脑出血去世。 陈主任决议将高峻爷以高血压伴低钾血症病因收治入院,并复查血钾,行盐皮质激素相关高血压筛查及全腹部CT扫描。 盐皮质激素相关高血压筛查(卧位 早上6点) 盐皮质激素相关高血压筛查(立位 早上8点) 检测报告出来后,陈主任第一时间请内渗透科余主任会诊。余主任看了报告,第一时间想到了最常见的引起高血压伴低钾血症的内渗透科疾病——原发性醛固酮增多症(简称“原醛症”)。 “以前,各人都以为原醛症是一个少见病,遇到高血压伴低血钾就直接给患者上螺内酯。着实原醛症有六种分型,每种都有差别的诊疗计划。若是是醛固酮瘤,高血压甚至有治愈的希望。”余主任感应很遗憾,“这个检查要是早做二十年就好了。” “从卧位变为立位,检测报告显示,患者的醛固酮水平没有像康健人群一样升高,反而下降了。因此,我们推测他是可手术治愈的原醛症-醛固酮瘤患者。”果真,CT效果进一步佐证了余主任的诊断。 肾上腺增强CT:思量左侧肾上腺结节状增生


思量到患者的家族病史,为扫除家族性的醛固酮增多症,在吴主任的建议下,患者先做了基因检测,基因检测效果并未提醒家族性醛固酮增多症。
AVS效果显示:左侧肾上腺优势渗透
接下来,高峻爷接受了肾上腺静脉采血(AVS)。凭证AVS效果,对左、右侧肾上腺醛固酮与皮质醇的比值与下腔静脉醛固酮与皮质醇的比值举行盘算,证实高峻爷左侧肾上腺保存醛固酮优势渗透。
被漏诊多年的高峻爷终于在行腹腔镜下左侧肾上腺切除手术后一周,血钾升至5.07mmol/L,降压药由厄贝沙坦、硝苯地平、螺内酯三种同服镌汰至硝苯地平一天一次,血压恢复到126/77mmHg。 术后三月复诊,困扰高峻爷多年的间歇性乏力、血压控制不佳获得了显著改善。 “早诊断”“早治疗” 哪些患者应思量原醛症筛查 原醛症指肾上腺皮质渗透过量醛固酮,导致体内潴钠、排钾、血容量增多、肾素-血管主要素系统活性受抑。临床主要体现为高血压伴或不伴低血钾。 研究发明,醛固酮过多是导致心肌肥厚、心力衰竭和肾功效受损的主要危险因素。与原发性高血压患者相比,原醛症患者心脏、肾脏等高血压靶器官损害更为严重。因此,“早诊断”“早治疗”尤为主要。 专家建议 余主任建议有以下症状的患者应思量PA筛查: 1.一连性高血压 (>150/100mmHg)者,使用3种通例降压药(包括利尿剂)无法控制血压(>140/90mmHg)的患者,使用≥4 种降压药才华控制血压( <140/90mmHg)的患者及新诊断的高血压患者; 2.高血压合并自觉性或利尿剂所致的低钾血症的患者; 3.高血压合并肾上腺意外瘤的患者; 4.早发性高血压家族史或早发( <40岁) 脑血管意外家族史的高血压患者; 5.原醛症患者中保存高血压的一级支属; 6.高血压合并壅闭性呼吸睡眠暂停的患者; 7.靶器官损伤水平与高血压病程不符的患者; 8.年岁<40岁的年轻高血压患者; 9.高血压伴房颤患者,且患者的心律失常无法用结构性心脏病和其他情形举行诠释。 特殊鸣谢 温州市中心医院余玉慧主任团队提供并授权使用该病例,为突出可读性内容略删改。