ÉúÑÄÖÐÓÐЩÈ˾³£Éú²¡£¬¾«Éñ½ÏÁ¿²î¡¢¾«ÉñҲǷºÃ¡¢¹ýÃô·´Ó¦Ôö¶à¡¢ÉË¿ÚÓúºÏËÙÂʱäÂý¡¡ÉíÌå×ÜÓÐÕâÀïÄÇÀïµÄ²»ã«Ò⣬Õâ¿ÉÄܶ¼ÓëÎÒÃǵÄÃâÒßϵͳ¹¦Ð§Óйء£
ÄãÏàʶ×Ô¼ºÉíÌåÀïµÄÃâÒßϵͳÂð£¿ËüÓÖÊÇÔõÑùÊÂÇéµÄÄØ£¿
ÔÚÈËÀàÂþ³¤µÄ½ø»¯Àú³ÌÖУ¬ÎÒÃǵÄÉíÌåÂÄÀúÁËÎÞÊýµÄת±ä¡£ÆäÖÐ×î¾ßÓÐÌôÕ½µÄת±ä£¬¿ÉÄܾÍÊÇÄãÉíÌåÀïµÄÃâÒßϵͳ¡£ËüÏñÊÇÒ»¸öÖҳϵġ°Ó°×Ó»¤ÎÀ¡±£¬²»·ÖÖçÒ¹µØÊØ»¤×ÅÕû¸öÉúÃüÌå¡£
ÈËÌåÄÚ×îÖǻ۵Äϵͳ ÃâÒßϵͳ¿ÉÒÔ˵ÊÇÈËÌåÄÚ×îÖǻ۵Äϵͳ£¬Ëü¿ÉÒÔ×ÊÖúÉíÌå·ÀÓùÍâÀ´»òΣÏÕÈëÇÖÕß¡£ÎÞÂÛÊÇ΢ÉúÎÀýÈçϸ¾ú¡¢²¡¶¾ºÍÕæ¾úµÈ£©¡¢¼ÄÉú³æ¡¢°©Ï¸°û£¬ÕÕ¾ÉΪÕü¾ÈÉúÃüÆ÷¹Ù¶ø¾ÙÐеÄÒÆÖ²Æ÷¹ÙºÍ×éÖ¯£¬¶¼¿ÉÒÔ±»ÃâÒßϵͳ¿ìËÙÓÐÓõØÊ¶±ð³ö¡£¶øÊ¶±ðµÄµÚÒ»²½£¬¾ÍÊÇ񻂿·ÖʲôÊôÓÚÌåÄÚ£¨×ÔÎÒ£©£¬Ê²Ã´ÊôÓÚÌåÍ⣨·Ç×ÔÎÒ»òÍâÀ´£©¡£ ÃâÒßϵͳʶ±ðµÄÐźÅÎïÖÊ£¬±»ÈËÃdzÆÎª¿¹Ô¡£ÈôÊÇ¿¹ÔÊÇΣÏÕÓк¦µÄ£¬ÄÇôÃâÒßϵͳ¾Í×îÏÈÁËһϵÁеÄÃâÒß·´Ó¦£¬°üÀ¨£º ¡¤ ʶ±ðDZÔÚÓꦵÄÍâÀ´¿¹Ô ¡¤ ¼¤»îºÍ·¢¶¯²½¶ÓµÖÓùËü ¡¤ ¹¥»÷Ëü ¡¤ ¿ØÖƲ¢¿¢Ê¹¥»÷ ÃâÒßϵͳҲÓÐÉú²¡µÄʱ¼ä£¬»á°Ñ×ÔÉíÎóÒÔΪÊÇ·Ç×ÔÉí£¬´Ó¶ø¾ÙÐй¥»÷£¬µ¼ÖÂÁË×ÔÉíÃâÒßÐÔ¼²²¡£¬ºÃ±ÈÎÒÃdz£¼ûµÄÀà·çʪÊàŦÑס¢×ÔÉíÃâÒßÐÔ¸ÎÑס¢Çű¾Êϼ××´ÏÙÑס¢ºì°ßÀÇ´¯µÈµÈ£» µ±ÃâÒßϵͳÉú²¡Ê±ÉÐÓпÉÄܶÔÍâ½çÓк¦¿¹ÔÎÞ·¨Ê¶±ðºÍ·´Ó¦£¬µ¼ÖÂÁËÃâÒßȱÏݲ¡£¬ºÃ±ÈÌÇÄò²¡ºÍÈËÀàÃâÒßȱÏݲ¡¶¾£¨HIV£©Ñ¬È¾£» ÉÐÓÐʱ¼ä£¬ÈËÌåÃâÒßϵͳ¶ÔÎÞº¦µÄÍâÀ´¿¹Ô±¬·¢Ì«¹ýÃâÒß·´Ó¦²¢ËðÉËÕý³£×éÖ¯£¬Õâ¾ÍÊÇ×î³£¼ûµÄ¹ýÃô·´Ó¦ÁË¡£ ÖØ´óµÄÃâÒßϵͳÐèÒªÖÖÖÖÆ÷¹Ù¡¢×éÖ¯ºÍϸ°ûÅäºÏÊÂÇ飬ÐÞ½¨³ÉÒ»µÀÓÖÒ»µÀµÄÈËÌå·À»¤Ïß¡£
µÚÒ»µÀ·À»¤ÏߣºÎïÀíÆÁÕÏ Æ¤·ôÊÇÈËÌåÓ¦¶ÔÇéÐÎΣÏյĵÚÒ»µÀ·À»¤ÆÁÕÏ¡£Í¬Ñù¼ÓÈëÆäÖеģ¬ÉÐÓÐÑÛ¾¦µÄ½ÇĤ£¬ºôÎüµÀ¡¢Ïû»¯µÀµÈµÄð¤Ä¤£¬±£»¤»úÌåÃâÊÜ´ó´ó¶¼ÍâÀ´Î£ÏÕµÄÈëÇÖ¡£Í¬Ê±£¬ÉíÌ廹»áÉøÍ¸Ò»Ð©ÎïÖÊÀ´ÆÆËðϸ¾úÉϵÄø£¬´Ó¶ø·ÀÓù»úÌå¡£ÀýÈçÆ¤·ôµÄº¹Òº¡¢ÑÛ¾¦µÄÀáÒº¡¢ºôÎüµÀºÍÏû»¯µÀµÄð¤ÒºÒÔ¼°ÒõµÀÉøÍ¸ÎïµÈ¡£ Ƥ·ô¡¢Õ³Ä¤¼°ÆäÉøÍ¸Îï×é³ÉÍêÕûµÄÎïÀíÆÁÕÏ£¬ÊÇÈËÌåµÄµÚÒ»µÀ·À»¤Ïß¡£
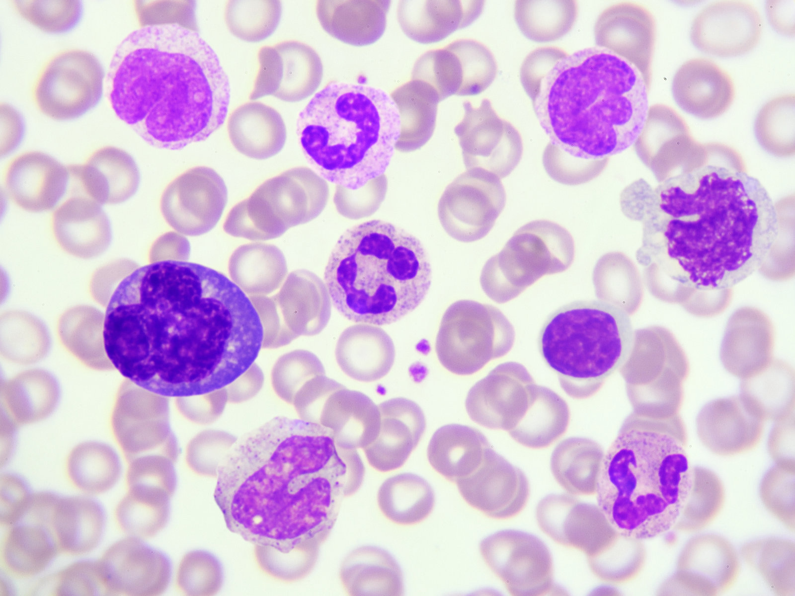
µÚ¶þµÀ·À»¤Ïߣº°×ϸ°û ÈËÌåµÄ°×ϸ°û¾ßÓÐÏÈÌì×ÔÈ»ÃâÒßÁ¦£¬°×ϸ°ûÖеľÞÊÉϸ°ûºÍÖÐÐÔÁ£Ï¸°ûµÈ»áÍÌÊÉÈëÇÖÕߣ¬°×ϸ°ûÒ²»áÐγÉ×ÔȻɱÉËϸ°û£¬Ö±½Óʶ±ðºÍɱËÀ°©Ï¸°ûÒÔ¼°±»Ñ¬È¾µÄϸ°û£¬ÓÐЩ°×ϸ°û»¹»áÊÍ·Åϸ°ûÒò×ÓºÍ×é°·µÈÎïÖÊ¡£ ÏÈÌìÃâÒßÁ¦ÔÚÇ¿ÁÒɱµÐµÄʱ¼ä£¬ÁܰÍϸ°ûͨ¹ýÆð¾¢Ñ§Ï°²¢¼Í¼Á˹¥»÷ÈËÌåµÄ¿¹Ô£¬²¢ÔÚÈËÌåÔÙ´ÎÔâÊÜͬÑùµÄ¿¹ÔÈëÇÖʱÕö¿ªÑ¸ËÙÓÐÓõĹ¥»÷£¬Õâ¾ÍÊÇÎÒÃǾ³£Ìáµ½µÄ»ñµÃÐÔÃâÒߣ¬½ÓÖÖÁ÷¸ÐÒßÃç¾ÍÊÇ»ùÓÚÕâ¸öÔÀí¡£ µÚÈýµÀ·À»¤ÏߣºÃâÒßÎïÖÊ ÃâÒßϵͳϸ°ûÉøÍ¸ÖÖÖÖ·Ö×Ó£¬²¢ÇÒÏ໥×÷ÓÃÓ°Ïì¡£ÕâЩ·Ö×Ó°üÀ¨×÷ΪϵͳÐÅʹµÄϸ°ûÒò×Ó£¬Ðγɲ¹ÏµÒ»ÇеIJ¹ÌåÂѰף¬ÒÔ¼°ÖÖÖÖ¿¹Ìå¡£ µÚËĵÀ·À»¤ÏߣºÁܰÍϵͳ


ÁܰÍϵͳÊÇÃâÒßϵͳµÄÖ÷Òª×é³É²¿·Ö£¬ÐØÏÙ¡¢¹ÇË衢ƢÔà¡¢±âÌÒÌå¡¢ÁÜͶºÏ¡¢À»Î²µÈ¶¼ÊôÓÚÁÜ°ÍÆ÷¹Ù¡£¹ÇËèºÍÐØÏÙÊǰ×ϸ°û±¬·¢ºÍÔöÖ³µÄ³¡ºÏ£¬¶øÆ¢ÔàµÈÆ÷¹ÙΪÃâÒßϵͳ³ÉÊìϸ°ûÌṩÁËȺ¼¯Ô°µØ¡£
ÁܰÍϵͳ½èÖú»úÌå¸÷²¿µÄÁÜͶºÏºÍÆÕ±éµÄÁܰ͹ܣ¬½«Î¢ÉúÎï¡¢ÆäËüÒìÎï¡¢°©Ï¸°ûµÈ´Ó×éÖ¯ÔËË͵½ÁÜͶºÏ£¬¹ýÂ˲¢ÆÆËðÕâЩÎïÖʺÍϸ°û£¬È»ºó»ØÁ÷µ½ÑªÁ÷¡£ ÃâÒßϵͳ¾ÍÊÇͨ¹ýÃâÒß¼¤»î¡¢µ÷¿Ø¡¢ÏûÍËÕâÑùһϵÁеķÀÓùÀú³ÌÀ´±£»¤»úÌåµÄ¡£ Ëæ×ÅÏÖ´úҽѧµÄÉú³¤£¬½èÖúÃâÒßϵͳ¾ÙÐиÉÔ¤ÖÎÁƵÄÒªÁì±»¸ü¶àµØÓ¦ÓùâÁÙ´²ÕïÁÆÖУ¬ÀýÈçÃâÒßÖÎÁÆÖƼÁ£ºµ¥¿Ë¡¿¹Ìå¡¢ÈÚºÏÂѰס¢Ï¸°ûÖÎÁÆ¡¢ÖØ×éϸ°ûÒò×ӵȡ£ ÊìϤ×ÔÉíµÄÃâÒßϵͳ£¬ÆÀ¹À¸öÌåÃâÒß¹¦Ð§£¬Ô½À´Ô½±»¸÷ÈËËùÖªÏþ²¢ÖØÊÓ¡£×ðÁú¿Ê±¿ÉÌṩÁܰÍϸ°û¹¦Ð§ÆÀ¹À¡¢ÏÈÌìÃâÒß¹¦Ð§ÆÀ¹À¡¢ÃâÒß¹¦Ð§ÆÀ¹À×éÌ×£¬×ÔÉí¿¹Ìå¼ì²âµÈÃâÒß¹¦Ð§ÆÀ¹ÀÏà¹Ø¼ì²âÏîÄ¿£¬ÒÔ¾«×¼µÄ¼ì²âЧ¹û£¬ÖúÁ¦ºÏÀíµØ¸ú×ÙÆÀ¹ÀÓë¿ÆÑ§¸ÉÔ¤£¬Îª¿µ½¡±£¼Ý»¤º½¡£