×ðÁú¿­Ê±

OAÈë¿Ú
±¨¸æµ¥ÅÌÎÊ
ÔÚÏ߿ͷþ
×ðÁú¿­Ê±¡¤(ÖйúÇø)¹Ù·½ÍøÕ¾
ÐÂÎÅÖÐÐÄ
News Center
´ó²®¿©Ñª¶àÄêÕÒ²»µ½Ôµ¹ÊÔ­ÓÉ£¬¾¹ÊÇÍÃ×Ó¶´ÀïµÄÓÐÊýÕæ¾ú½øÁË·Î £¿
Ðû²¼£º2023/03/07


63ËêµÄһλÕã½­´ó²®£¬

ÍËÐÝǰ´ÓÊÂÆ¤²Ý¼Ó¹¤Ïà¹ØÊÂÇ飬

±»²»Ã÷Ôµ¹ÊÔ­ÓɵĿ©ÑªÕÛÄ¥¶àÄ꣬

Õ⼸ÄêËûշת¸÷´óÒ½ÔºÇóÒ½£¬

Ö¢×´²»µ«Î´ÄÜ»º½â£¬

·´µ¹Óú·¢ÑÏÖØ¡­¡­


×îÖÕ£¬ÔÚÕã½­´óѧҽѧԺÁ¥ÊôµÚÒ»Ò½ÔººôÎüÓëÖØÖ¢Ò½Ñ§¿ÆÖÜ»ªÖ÷ÈÎÓë×ðÁú¿­Ê±²Î¹É¹«Ë¾µÏÆ×Õï¶ÏµÄͨÁ¦ÏàÖúÏ£¬ÃÕÌâ±»½â¿ª¡£


Ô­À´£¬´ó²®Ñ¬È¾ÁËÒ»ÖÖûÓÐÖÐÎÄÃû³ÆµÄÓÐÊýÕæ¾ú¡ª¡ªArthroderma¡£ËüÊôÓÚÆ¤·ôÑ¢¾úÖÐ×î¶àÑù»¯µÄÊô£¬×îÔçÓÚ1963Äê±»·¢Ã÷£¬²¢´ÓÍö´»òÍÃëµÄÍÁÈÀÖÐÊèÉ¢³öÀ´¡£

΢ÐÅͼƬ_20230309164214.jpg


¿ËÈÕ£¬µÏÆ×Õï¶ÏÓëÕã½­´óѧҽѧԺÁ¥ÊôµÚÒ»Ò½ÔººôÎüÓëÖØÖ¢Ò½Ñ§¿ÆÖÜ»ªÖ÷ÈÎÏàÖú£¬½«ÄÉÃ׿ײâÐòÊÖÒÕÓ¦ÓÃÓÚÓÐÊýÕæ¾úµÄÈ«»ùÒò²âÐòÓë½ø»¯ÆÊÎöÑо¿Ð§¹û, ÔÚÏß½ÒÏþÓÚInternational Journal of Infectious Diseases¡¶¹ú¼ÊѬȾ²¡Ñ§¡·ÔÓÖ¾(IF£º12.074)¡£ÕâÊǵÚÒ»ÀýÓÉArthroderma multifidum£¨¼ò³ÆA. multifidum£©ÒýÆðµÄÂýÐԷβ¿Õæ¾úѬȾÈËÀàµÄ²¡Àý¡£



ÖÎÇ·ºÃµÄ½áºË²¡ £¿

×ÅʵÊÇÕæ¾úѬȾ


Õâλ´ó²®´Ó2015ÄêÆð£¬¾Í±»¿©Ñª²øÉÏÁË¡£Ëû»¹Ã»À´µÃ¼°ºÃºÃÏíÊÜÍËÐÝÉúÑÄ£¬¾Í×îÏÈÁËÓ벡ħÂþ³¤µÄÀ­³¶¡£ËûÒÔΪÊÇ×Ô¼ºÄêÇáʱµÃ¹ý·Î½áºËÂäϵIJ¡¸ù£¬Ê¼ÖÕÎÞ·¨¸ùÖΡ£


µ½ÁË2019Ä꣬Ëû¿ÈѪµÄÖ¢×´Ô½À´Ô½ÑÏÖØ£¬Õ·×ª¶à¼ÒÒ½ÔººóÏòÕã½­´óѧҽѧԺÁ¥ÊôµÚÒ»Ò½ÔººôÎüÓëÖØÖ¢Ò½Ñ§¿ÆÖÜ»ªÖ÷ÈÎÇóÖú¡£

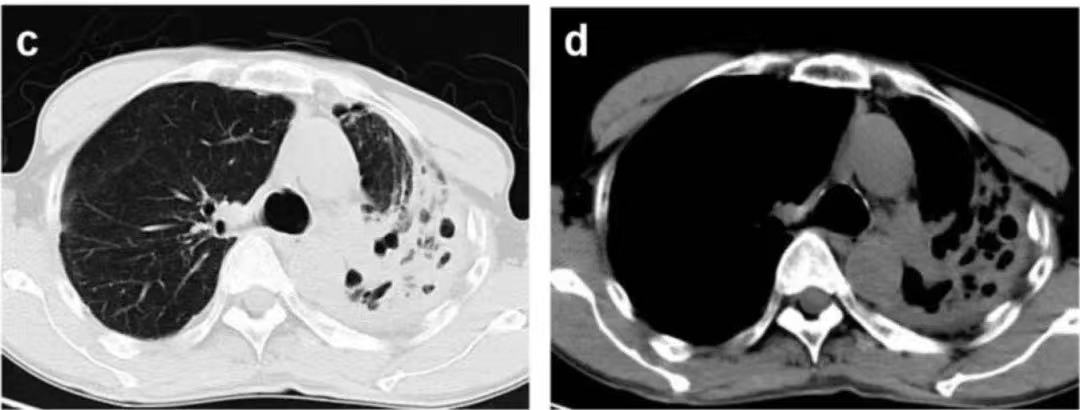
΢ÐÅͼƬ_20230309164317.jpg

ÐØ²¿CTÏÔʾ×ó·ÎÉÏÒ¶ÓÐÂýÐÔѬȾºÍÊÜËð²¡Ôî


¡°·Î²¿CT¿´ÆðÀ´²»ÏñÊǷνáºË¡£ÎÒÃÇÖØ¸´ÁôÁËÐí¶à´Î̵ͿƬ¶¼Ã»ÓÐÕÒµ½½áºË¸Ë¾ú£¬ÈôÊÇÊǽáºË·ÖÖ¦¸Ë¾ú»ò·ÎÇúù¾ú£¬²»Ó¦ÔÆÔÆ·´Öظ´¸´¡¢¿ØÖƲ»×¡£¡¡±ÖÜ»ªÖ÷ÈÎÌåÏÖ¡£Æ¾Ö¤¸»ºñµÄÁÙ´²ÂÄÀú£¬Ëû³éÈ¡ÁËÖ§Æø¹Ü·ÎÅݹàÏ´Òº(BALF£©ËÍÍùÁÙ´²Î¢ÉúÎïÊÒ×÷Óý¡£


¾­ÓÉ×÷Óý·¢Ã÷£¬ÕæÐ×·ºÆðÁË¡ª¡ªÊÇÒ»ÖÖǰËùδ¼ûµÄ˿״ù¾ú£¡

΢ÐÅͼƬ_20230309164320.jpg

¾úÖêÔÚ35¡æµÄÂíÁåÊíÆÏÌÑÌÇÇíÖ¬×÷Óý»ùÉÏ(PDA)ÑÕÉ«×î³õΪ°×É«£¬Ò»ÖܺóÖð½¥±äΪ»ÆÉ«¡£¾úÂä³Ê·Û×´»ò¿ÅÁ£×´ £¬±âƽ»ò·ÅÉä×´°¼²Û(¼ûÉÏͼa)¡£·ÖÉúæß×Ó³ÊÀæÐΣ¬½üÇòÐλòÍÖÔ²ÐΣ¬Å¼¼û1~2¸ö¸ôĤ¡£·ÖÉúæß×Ó¾ÞϸԼΪ3¦Ìm¡£


ÈéËá·ÓÃÞÀ¶È¾É«ºó£¬¿É¼ûÔ²ÐλòÀæÐηÖÉúæß×ÓÓë͸Ã÷¸ô¾úË¿³ÉÖ±½Ç¸½×Å(¼ûÉÏͼb)¡£



È«»ùÒò×é²âÐòÆÆ½âÃÕÌâ


µÏÆ×Õï¶ÏÄÉÃ׿׵¥·Ö×Ó²âÐòƽ̨¶Ô¸ÃÕæ¾ú¾ÙÐÐÁËÈ«»ùÒò×é²âÐò£¬ÐòÁо­Õæ¾úÊý¾Ý¿â±È¶Ô£¬Ö¤Êµ¸Ã¾úÖêΪA. multifidum¡£¸Ã¾úÖê±»ÃüÃûΪÕã½­2016 A. multifidum¡£


ArthrodermaÊÇÆ¤·ôÑ¢¾úÖÐ×î¶àÑù»¯µÄÊô£¬×îÔçÓÚ1963Äê±»·¢Ã÷£¬²¢´ÓÍö´»òÍÃëµÄÍÁÈÀÖÐÊèÉ¢³öÀ´¡£


΢ÐÅͼƬ_20230309164324.jpg

»ùÓÚÄÉÃ׿׵¥·Ö×Ó²âÐòƽ̨¶ÔÕã½­2016 A. multifidumµÄÈ«»ùÒòÐòö¾ÙÐвⶨÆÊÎö¡£Ð§¹ûÏÔʾ£¬A. multifidumÈ«»ùÒò×é¾ÞϸΪ23.22Mb(N50=2.50Mb)£¬ÓÉ23¸öcontigs×é³É(¼ûϱí)¡£È«»ùÒò×éÖÐGCº¬Á¿Õ¼±È50.18%¡£BLAST±È¶ÔÆÊÎöÏÔʾ£¬´ËÐòÁÐÓëNCBI½ÒÏþµÄA. multifidumµÄ18S¡¢ITS1¡¢5.8S¡¢ITS2ºÍ28S»ùÒòµÄÆ¥Åä¶ÈµÖ´ï99.82%¡£


΢ÐÅͼƬ_20230309164327.jpg

A. multifidumϵͳ½ø»¯Ê÷

±ðµÄ£¬±¾Ñо¿»¹¾ÙÐÐÁË»ùÒòÕ¹Íû¡¢ÆðÔ´¹¦Ð§×¢ÊͺÍϵͳ·¢ÓýÆÊÎö¡£Ð§¹ûÏÔʾ£¬±¾Ñо¿ÒÑÀֳɶÔ6653¸ö»ùÒò¾ÙÐÐÕ¹Íû£¬¶ÔCOGÊý¾Ý¿âÖÐÆ¥ÅäµÄ5287¸ö»ùÒò¾ÙÐй¦Ð§·ÖÀ࣬·ÖÊôÓÚ25¸öÖֱ𡣽ÓÄÉGO×¢ÊÍ·¨¶ÔÕã½­2016 A. multifidumµÄÕ¹Íû»ùÒò¾ÙÐÐͬԴÐòÁÐÆÊÎö¡£Æ¾Ö¤Í¬Ô´ÐÔˮƽ£¬3314¸ö»ùÒò±»·ÖΪ3¸öÄ £¿é(ÉúÎïÀú³Ì¡¢Ï¸°ûÒòËØºÍ·Ö×Ó¹¦Ð§)¡£¶øÓëKEGGÊý¾Ý¿âµÄÐòÁбȶÔÔòÏÔʾÁË402Ìõͨ·£¬Éæ¼°3732¸ö»ùÒò£¬²¢¶ÔÕã½­2016 A. multifidum Öê¿ÉÄܱ¬·¢µÄDZÔÚÉúÎïѧ;¾¶¾ÙÐиÅÊö¡£

¾­ÓÉÖÎÁÆ£¬´ó²®µÄÖ¢×´ÏÔ×Å»º½â£¬²¢ÔÚÖ®ºóΪÆÚ2ÄêÁã9¸öÔµÄËæ·ÃÖÐûÓи´·¢¡£


ÄÉÃ׿׵¥·Ö×Ó²âÐò

ΪÁÙ´²¾«×¼ÕïÁÆÌá¹©ÖØ´ó¼ÛÖµ


±¾Ñо¿Àֳɷ¢Ã÷µÚÒ»ÀýÓÉA. multifidumÒýÆðµÄÈËÀà·Î²¿ÂýÐÔѬȾ²¡Àý£¬Åú×¢¸ÃÕæ¾ú¿ÉÒýÆðÈËÐó¹²»¼Ñ¬È¾£¬ÇÒÊ״λùÓÚÄÉÃ׿׵¥·Ö×Ó²âÐòƽ̨Íê³ÉÁׯÃÕæ¾úµÄÈ«»ùÒò×é²âÐòºÍϵͳ½ø»¯ÆÊÎö¡£Ñо¿Ò²³ä·Ö֤ʵ£¬ÄÉÃ׿ײâÐòÊÖÒÕÒòÆä³¤¶Á³¤¡¢PCR freeµÄÊÖÒÕÓÅÊÆÔÚδ֪/ÓÐÊýÕæ¾úµÄ¼ì²â·½Ã棬ÄÜ×î´óÏ޶ȱ£´æÔ­Ê¼ÐòÁеı£Õæ¶È£¬¿É×÷Ϊδ֪/ÓÐÊý²¡Ô­Ìå·¢Ã÷µÄÓÐÁ¦¹¤¾ß¡£


ʱ»úÐÔÕæ¾úѬȾµÄ¼±¾çÔöÌíÒ²¶Ô¿ìËÙ¡¢×¼È·µÄÁÙ´²Õï¶ÏÒªÁìÌá³ö¸ü¸ßÐèÇó¡£µÏÆ×Õï¶Ï»ùÓÚÄÉÃ׿׵¥·Ö×Ó²âÐòÊÖÒÕÒÑ¿ª·¢µÏÆ×ÄÉ?²¡Ô­ºê»ùÒò×é²âÐò¡¢µÏÆ×¿×?²¡Ô­¶àÖØ°ÐÏò²âÐò¡¢µÏÆ×¿×?16S rDNAÈ«³¤²âÐòµÈ¶àÏîÍâµØ»¯½â¾ö¼Æ»®£¬¿ìËÙ¡¢×¼È·¡¢¸ßЧµØÅбðѬȾ²¡Ô­ÌåµÄͬʱ£¬Ò²ÎªÁÙ´²¾«×¼Ñ¡ÔñÒ©ÎïÌṩ²Î¿¼ÒÀ¾Ý¡£




Õæ¾úϲ»¶²øÉÏÄÄЩÈË £¿


1

ѪҺ²¡»ò¶ñÐÔÖ×Áö»¯Áƺó°×ϸ°ûµÍÏµĻ¼Õß £»

2

»¼ÓÐÀà·çʪÐÔÊàŦÑס¢ÌÇÄò²¡»ò¶àÖÖ¼²²¡µ¼ÖÂÃâÒß¹¦Ð§µÍϵÄÈË £»

3

Ò»¾­ºã¾ÃʹÓùãЧ¿¹ÉúËØµÄÈË £»

4

³Â¸¯ÐԷνáºË»òÆäËûÔµ¹ÊÔ­Óɵ¼Ö·β¿½á¹¹¸Ä±ä¡¢·Î¹¦Ð§µÍϵÄÈË £»

5

ÖÖÖÖÔµ¹ÊÔ­ÓÉ̻¶ÔÚ¸»º¬Õæ¾úæß×ÓÇéÐÎÏ£¨¸¯°ÜÖ²Î͸·ç²»Á¼¡¢¿ÕÆøÊªÈó¡¢ÐÞ½¨Îï²ð½¨¹¤µØµÈ£©£¬ÇÒ²»´÷¿ÚÕÖ¾ÙÐзÀ»¤µÄÈË¡£



ÍøÕ¾µØÍ¼